歯周病とはどのような病気なのでしょうか
歯周病とは歯の周りに付着するバイ菌であるデンタルプラークによって起こる感染症なのですが、昔は歯肉から膿がでて歯がぐらついてくることから歯槽膿漏と言われていました。しかし、その実態は歯の表面に付着した細菌が引き起こす炎症であることから、現在では歯の周りの病気と書いて歯周病と呼ばれています。
皆さんは歯の周りに付着するデンタルプラークというものを知っていますか?
昔は歯垢と言われておりました。
歯をきちんと磨かないでいると歯と歯茎の間や歯の表面にベタベタと白い付着物がついてくるのを見られたことがあると思うのですが、あれがデンタルプラークすなわちバイオフィルムなのです。最近では歯垢という実態を表していない言葉を用いるのではなく、デンタルプラークまたはバイオフィルムという呼び方に変わってきているのです。
ちなみに、この歯に付着するデンタルプラークですが、このデンタルプラーク1mg中にはどれくらいの数の細菌が含まれているかご存知でしょうか?答えは1億個です。この数はなんと大腸内に存在する細菌の数と同じで、体の中でもっとも細菌の多い場所なのです。
ただし、お口の中のバイ菌の病原性というのは大腸菌などと比べるととても弱いのです。
例えば、Porphyromonas gingivalis という歯周病を引き起こす代表的な細菌がいるのですが、この細菌の内毒素の強さは大腸菌などの一般細菌に比較して極めて弱いため、虫歯や歯周病などのお口の中の病気は発症までに時間がかかるのですが、身体全身に与える影響は大変強く、じわじわと皆さんの健康をむしばんでいくため、サイレントディシーズすなわち沈黙の病気と言われているのです。
■歯肉炎と歯周炎
歯肉炎
左の図は健康な歯周組織(歯肉、歯根膜、セメント質、歯槽骨)と、歯肉炎の状態を表しています。歯肉炎は炎症が歯と歯茎(歯肉)に限局して生じる病気で、歯と歯茎の境目が赤く腫れたり、出血したりします。プラークによる歯肉炎とその他薬物、ホルモンやストレスなどによるプラーク以外の歯肉炎もあります。この段階では、歯と歯茎の周りのプラークを歯ブラシなどで一生懸命除去すれば、健康な状態に戻すことは可能です。
歯周炎

歯茎の腫れや出血だけでなく、歯と歯茎の隙間に沿ってプラークが侵入し歯周ポケットというものを形成し、プラークがさらに根尖の方へと移動していきます。すると歯を支えている歯根膜線維が破壊され、歯槽骨が溶けて歯の動揺(グラグラする)がみられてきます。場合によっては、急性症状で歯茎に痛みがでたり、慢性的には腫れ、出血、排膿、口臭などがみられてきますが、一般的に慢性歯周炎という病名で軽度・中等度・重度に分けられています。

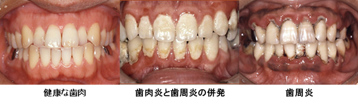
上の写真は、実際のお口の中の写真ですが、左から健康的な歯肉の状態、歯肉炎になってしまった状態、歯周炎になってしまった状態のものです。
健康的な状態では、歯肉の色が健康的な淡いピンク色を呈しており、歯と歯の間の歯肉もピンと尖った状態で張りがあり、いかにもきれいですね。
ところが、歯肉炎を起こしてしまいますと、歯の周囲の歯肉は赤く腫れプラークがびっしり付着しているのがわかります。このようになりますと、歯磨きのような軽度の刺激でも痛みがあったり、簡単に出血をするようになってしまいますし口臭も強くなってきます。
一方、右の写真のように歯周炎を起こしてしまうと、歯と歯茎の境目に黒い色をした歯石がびっしりと付着し、その影響で歯ぐきは赤黒く腫れあがりブヨブヨとしてきますし、歯が揺れてきたり、痛くて噛めないといった症状も現れてきます。
このように非常にひどい状態になれば、どなたにも気づいていただけるのですが、実際には、ここまでひどく見えないにもかかわらず非常に進行してしまっているものがほとんどで、軽度や中等度の状態では気づいていただけないというのが現実なのです。
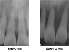
左の写真は健康な状態のレントゲン写真と歯周炎になってしまったレントゲン写真ですが、健康な状態では歯のすぐ下まで骨がしっかりとあり、歯全体を骨がしっかり支えていることがわかりますが、歯周炎になってしまうと歯根の先端まで骨が溶けてなくなってしまっているのがわかると思います。
■歯周病のセルフチェック
では皆さん歯周病のセルフチェックをやってみましょう。左の図にあります11個の項目で、いくつ一致するものがあるか数えてみて下さい。
いくつイエスがありましたか?
実はこれらの項目はすべて歯周病によって起こる症状なんです。
したがって、1つでもイエスがあれば歯周病の可能性が非常に高いのですが、4つから6この間にあったという人は確実に歯周病の疑いがありますし、7個以上あったという方はかなり歯周病が進んでいると思われます。
したがって、1つでも一致した項目があったという方は、歯医者さんでぜひ検査を受けていただきたいと思います。
実際には、このように様々な症状が本当はでているのですが、痛みが少ないために気づいていただけないというのが歯周病の本当に怖いところなのです。
■日本ではどれくらいの方が歯周病にかかられているのでしょうか?
このスライドは日本で、どれくらいの方が歯周病にかかっているのかを年齢別に表したものなのですが、なんと成人の70%以上、40歳以上の方では80%以上の方が歯周病に罹患してしまっているということがわかります。
歯周病以外の病気で成人の8割以上の人がかかってしまう病気が他にありますか?
このあたりが歯周病の怖いところなのです。
ここで、注意すべきは55歳以上になると有病者率が低下してきますが、これは決して歯周病が治ってきているわけではないんです。
虫歯や歯周病に罹患していた歯がとうとう限界を超えてしまって、もう残すことができずに抜かれてしまっているためなんです。
実際に年齢別で歯の残っている数を見てみますと・・・
■日本人は何歳くらいから歯が抜けてしまうのでしょうか?

男女ともに45歳代から歯を失い始めて、85歳代では男性7本、女性5本にまで残っている歯が減ってしまうのです。
言い換えると、45歳代から85歳代までの40年間に男性は21本、女性は23本の歯を失ってしまうということになります。
これを歯を失っていくスピードに例えますと、およそ2年に1本のペースで歯が無くなっていくということになります。
では、どうしてこんなにも多くの方が歯周病にかかって歯を失っていってしまうのでしょうか?
ようこそ京急クリニックプラザ米山歯科へ